



Call Name: Giana
Registered Name: Giana vom Fichtenschlag
Dam: Liana vom Fichtenschlag
Sire: Henry Latmon
Registration Type: SV
Country of Origin: Germany
DOB: 12/26/2021
Weight: 60 lbs
Height: 59 cm
Colour: Red sable
Coat type: Stock coat
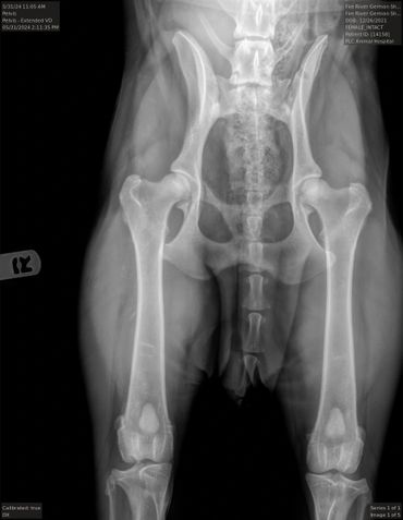
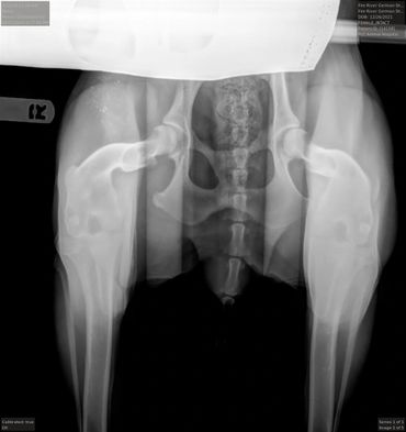
Hips (SV): Normal
HD Breeding Value (SV): 83
PennHIP: L: 0.3. R: 0.35.
Elbows (SV): Normal
LUW (SV): 0
Basic Cardiac (OFA): Normal
Dentition: Full
DNA (SV): Not yet done
Eyes (OFA): Normal w/ breeder options noted
Canine Health Check DNA panel: Completed
DM: Clear
PD: Carrier
Show Rating (SV): 2x SG1
CKC conformation title: Champion Pointed
Working Titles: BH-VT, AD, WB
Breed Survey: Not eligible yet












We use cookies to analyze website traffic and optimize your website experience. By accepting our use of cookies, your data will be aggregated with all other user data.